
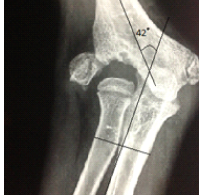
Clinical and Radiological Outcome following Kim’s Step cut Translation Osteotomy for Cubitus Varus and Valgus in Children
Volume 2 | Issue 2 | May-Aug 2016 | Page 34-37|Dhurvas Ramlal…

Pollicisation: Embryology, History, Technique and Results
Volume 2 | Issue 2 | May-Aug 2016 | Page 29-33|Amita S. Hiremath,…

Radial Longitudinal Dysplasia: An Alternative Treatment Paradigm
Volume 2 | Issue 2 | May-Aug 2016 | Page 24-28|Donald S Bae
Authors…

Radial Hemimelia Treatment – Decision Making and Management, Algorithm of Management, Operative Approaches, Results
Volume 2 | Issue 2 | May-Aug 2016 | Page 17-23| Rujuta Mehta
Authors…

History of Treatment, Classifications, Natural History and Prognosis with respect to Recurrence
Volume 2 | Issue 2 | May-Aug 2016 | Page 12-16|Binoti Sheth1,…

Embryology, Pathoanatomy, Clinical Features, Syndromes with Clinical Relevance in Radial Club Hand
Volume 2 | Issue 2 | May-Aug 2016 | Page 9-11|Anirban Chatterjee,…